Author Topic: ~ Recognizing the 4 Major Types of Cancer ~  (Read 518 times)

Offline MysteRy

  • Global Moderator
  • Classic Member
  • ****
  • Posts: 226856
  • Total likes: 29016
  • Karma: +2/-0
  • Gender: Female
  • ♥♥ Positive Thinking Will Let U Do Everything ♥♥
    • http://friendstamilchat.com/
~ Recognizing the 4 Major Types of Cancer ~
« on: August 17, 2015, 06:48:58 PM »
Recognizing the 4 Major Types of Cancer


The cells in our body grow, multiply, and die naturally. Each cell holds a copy of your DNA; the genetic blueprints that instruct them how, what, and where to grow, as well as how to replicate themselves. When the genetic data in a cell is damaged, the cell can start replicating uncontrollably, forming a growth. We know that growths can become cancerous, but what is a growth and how does it relate to cancer? This article will tell you what happens in your body when you develop the four basic cancer types, which encompass the most well-known types of cancer.


Cancerous cells


Growths and Tumors

What is a growth, and how can it become cancerous? A growth is a state where one of the cells in your body continues to replicate, even when it is no longer needed and creates many cells of the same kind. These growths can remain benign without metastasizing (spreading) to other parts of the body, or become malignant (even benign growths can become malignant). Malignant tumors form when part of the genetic code in the cell is damaged, forcing the cell to replicate itself uncontrollably, including the damaged genetic code. Usually, our bodies will destroy these cells on their own, but at times they can replicate beyond the body’s control. When the body can no longer stop these cells from growing, they become a cancerous tumor.

The 4 Basic Cancer Types

The cells in our body grow, multiply, and die naturally. Each cell holds a copy of your DNA; the genetic blueprints that instruct them how, what, and where to grow, as well as how to replicate themselves. When the genetic data in a cell is damaged, the cell can start replicating uncontrollably, forming a growth. We know that growths can become cancerous, but what is a growth and how does it relate to cancer? This article will tell you what happens in your body when you develop the four basic cancer types, which encompass the most well-known types of cancer.
« Last Edit: August 17, 2015, 06:50:43 PM by MysteRy »

Offline MysteRy

  • Global Moderator
  • Classic Member
  • ****
  • Posts: 226856
  • Total likes: 29016
  • Karma: +2/-0
  • Gender: Female
  • ♥♥ Positive Thinking Will Let U Do Everything ♥♥
    • http://friendstamilchat.com/
Re: ~ Recognizing the 4 Major Types of Cancer ~
« Reply #1 on: August 17, 2015, 06:53:48 PM »
1. Carcinoma

This type of cancer damages your skin, mucous membranes, glands, and internal organs. The most common type of carcinoma is called “Basal Cell Carcinoma,” which damages the internal parts of the skin’s epidermis. This type of cancer is usually referred to as “skin cancer” and often results from spending long periods of time in direct sunlight.

Another type is Squamous Cell Carcinoma, another type of skin cancer. However, this type can also be found in the respiratory and digestive systems. The third type of carcinoma is called “Mesothelioma”, and is caused by exposure to asbestos particles. The most common place to find this type of carcinoma is in the lungs’ outer layers and is usually caused by exposure to asbestos dust. When asbestos breaks, it releases dust that is highly carcinogenic. Other locations that carcinoma may appear in are the kidneys, breasts, lungs, colon, and prostate.

To prevent this type of cancer, avoid prolonged and unprotected exposure to sunlight, and learn how to recognize skin cancer. Additionally, avoid contact with asbestos, and remove it from your immediate environment.



Carcinoma of the breast (Breast cancer)
« Last Edit: August 17, 2015, 06:55:22 PM by MysteRy »

Offline MysteRy

  • Global Moderator
  • Classic Member
  • ****
  • Posts: 226856
  • Total likes: 29016
  • Karma: +2/-0
  • Gender: Female
  • ♥♥ Positive Thinking Will Let U Do Everything ♥♥
    • http://friendstamilchat.com/
Re: ~ Recognizing the 4 Major Types of Cancer ~
« Reply #2 on: August 17, 2015, 06:56:52 PM »
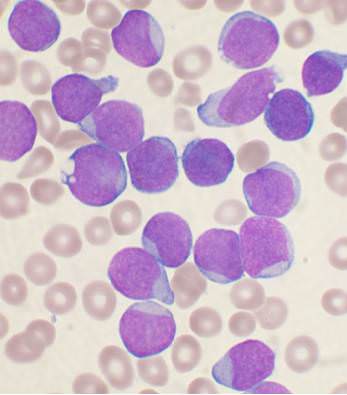
2. Leukemia

You may also know it as “Cancer of the Blood”, as it originates in the bone marrow, where blood is produced. The affected blood cells are your white blood cells, which are produced uncontrollably. There are 4 major types of leukemia:

Chronic leukemia: Begins as asymptomatic but worsens over time.

Acute leukemia: A rapid increase in the production of white blood cells.

Lymphoblastic leukemia: The leukemia affects the part of the marrow the produces lymphocytes – a type of white blood cells.

Myeloid leukemia: The leukemia affects the part of the marrow that produces red blood cells, as well as some minor white blood cells.

Prevention is managed by avoiding radiation sources, chemicals such as benzene, which is mostly produced by burning gasoline, as well as cigarette smoke.



Bone marrow sample of leukemia patient

Offline MysteRy

  • Global Moderator
  • Classic Member
  • ****
  • Posts: 226856
  • Total likes: 29016
  • Karma: +2/-0
  • Gender: Female
  • ♥♥ Positive Thinking Will Let U Do Everything ♥♥
    • http://friendstamilchat.com/
Re: ~ Recognizing the 4 Major Types of Cancer ~
« Reply #3 on: August 17, 2015, 06:59:17 PM »
3. Sarcoma

This is a type of malignant tumor that appears in connective or other nonepithelial tissue. Nonepithelial tissue is a type of tissue that covers a surface, or lines a cavity or the like. It can cover bones, cartilage, fat, muscles, or blood vessels. It is most common in the bones, tendons, muscles, cartilage, nerves, fat, and blood vessels in the arms and legs.

Sarcoma is often hereditary. If your family has a history of sarcoma, be aware that you are at risk, and pay attention to any sign that might indicate you have contracted it. If you notice a bump on your body that is growing rapidly, mainly on the arms or legs, and you’re experiencing stomach aches that are getting worse over time, consult your doctor as soon as possible.



Muscle tissue sarcoma

Offline MysteRy

  • Global Moderator
  • Classic Member
  • ****
  • Posts: 226856
  • Total likes: 29016
  • Karma: +2/-0
  • Gender: Female
  • ♥♥ Positive Thinking Will Let U Do Everything ♥♥
    • http://friendstamilchat.com/
Re: ~ Recognizing the 4 Major Types of Cancer ~
« Reply #4 on: August 17, 2015, 07:00:53 PM »
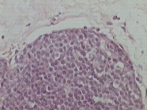
4. Lymphoma

Lymphatic cancer is a group of cancerous blood cells that evolve from lymphatic cells. There are plenty of sub-categories, but the 2 major kinds are Hodgkin’s and non-Hodgkin’s lymphoma. Hodgkin’s lymphoma develops from white blood cells called lymphocytes and is one of the easiest types of cancer to cure. Non-Hodgkin’s lymphoma usually appears in the lymph nodes and lymphatic tissues. Doctors take great care to differentiate between these 2 types because treatment is different for each one. Lymphatic cancer has certain variables, such as the patient’s age, the lymphoma’s stage, and if it metastasizes to the internal organs or outside of the lymphatic system.

Most lymphoma cases cannot be prevented because we still don’t fully understand what triggers them. It may be caused by exposure to radiation, but there are other variables that seem to be related.

Hodgkin’s lymphoma can be genetic, and is more common in men than women. It has correlations to infectious mononucleosis (“mono”) and herpes. Additionally, it can appear in people who take growth hormones, as well as people with a weakened immune system (such as AIDS patients). The most common symptoms include swelling of the neck, shoulders or chest, stomach aches, fever, itchy and red skin, lower back pain, pain and swelling after consuming alcohol, and rapid, extreme loss of weight.

Non-Hodgkin’s lymphoma becomes more common the older a patient is, and it too seems to appear more in men than in women. It’s often caused by exposure to fertilizers, industrial glue, and rubber industry-related chemicals. It is more likely to occur in people with a weak immune system. Common symptoms are coughing and shortness of breath, swelling in the neck, armpits or groin, extreme lethargy, red, itchy skin, night sweats, stomach aches, back pain, and sudden and extreme weight loss.



Hodgkin's lymphoma

On top of knowing these 4 major types of cancer, prevention methods, and symptoms, you may want to learn how to diagnose the most common types of cancer at home. These are easy-to-perform tests you can do in the privacy of your own home, and performing them once in a while can save you a lot of suffering. Remember: this is your health.